Dentures
入れ歯
![]()
入れ歯
Dentures

院内ラボで入れ歯の即日修理にも対応
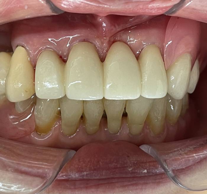
当院では、入れ歯はしっかり噛めて、快適に生活ができることが重要だと考えています。患者様の口腔内の状態を確認して、分析をし、噛み合わせが良くて適合するもの、装着した際に見た目が良いものを提供しています。入れ歯を作る前にヒアリングを丁寧に行い、装着した際の違和感、噛み合わせ、吸着力など、ご納得いただける条件を確認いたします。また、当院には歯科技工士が在籍しているので、その場で患者様に合った入れ歯を作ることができ、お使いの入れ歯が合わない場合も即日修理に対応しています。
患者様に入れ歯をご提供した後は定期検診を行い、隙間が空いていれば調整したり、クリーニングを行ったりなど快適にお使いいただけるようサポートしています。
入れ歯の種類

総入れ歯
歯の上側か下側のすべてに装着する入れ歯です。装着したときに違和感がある方は多いですが、最近は精巧なものが登場しており、インプラントとも組み合わせて使うことができるようになっています。

部分入れ歯
残っている歯を固定源として部分的に装着する入れ歯です。口臭や歯周病の原因にならぬよう残っている歯と入れ歯をしっかりブラッシングしましょう。

アタッチメント義歯
残っている歯と入れ歯にアタッチメントと呼ばれる特殊な装置を取り付けて固定する入れ歯です。クラスプ(入れ歯の針金)を使用しないため、取れにくく、見た目や噛み心地がよいのが特徴です。

金属床義歯
お口の中の「肌」にあたる部分が金属でできた義歯を金属床義歯といいます。金属床は強度があるため薄くつくることができ、お口の中で違和感が少なく快適です。また、熱伝導率が高いため、食べものをよく味わうことができます。
金属のバネのない入れ歯
エステデンチャー義歯は金属のバネをつかわない部分床義歯。
1956年にアメリカで開発されて以来、欧米を含む世界95カ国以上で認められたノンクラスプデンチャーです。
歯の表面に金属バネがないので、口の中にいれても入れ歯と気付かれません。また、ナイロン12スーパーポリアミドという素材で作られています。
エステデンチャーは壊れにくく、入れ歯の厚さがかなり薄くできるので装着感がよく、一般に入れ歯にアレルギー反応をお持ちの患者様にも安心してお使いいただけます。

弾力性の高い材質により薄い仕上がり、お口の中が快適です。
装着した時は入れ歯の色調が同化しているため、一目では区別がつきません。
金属のバネがないので金属アレルギーの心配もありません。


