Beauty
美容・アンチエイジング
![]()
美容・アンチエイジング
Beauty

第一印象は、会った瞬間の0.6秒で決まると言われています。
そのうち55%が笑顔や顔、姿、表情などの「見た目」で決まるというデータがあります。
「笑顔は第一印象アップの最大の武器」
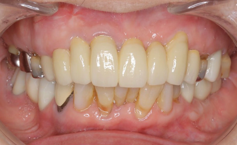
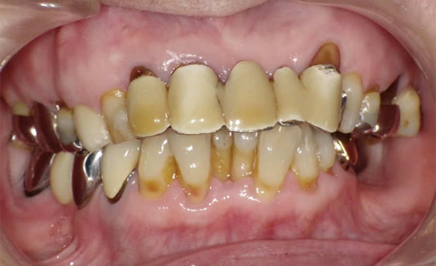
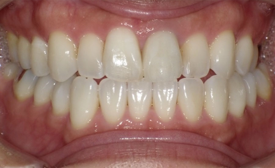
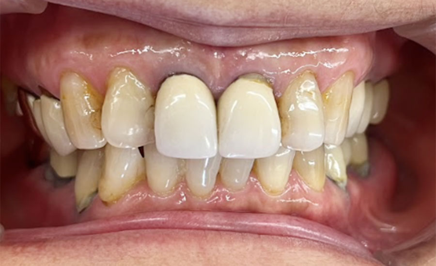
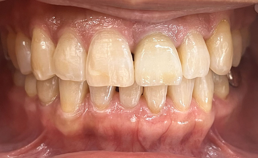
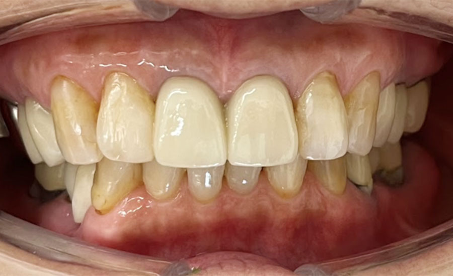
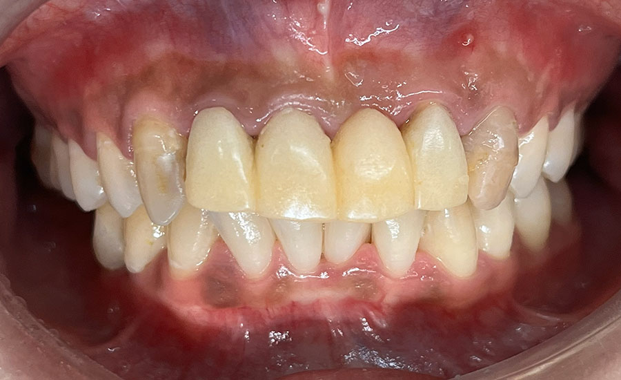
白く輝く歯は、清潔で健康な印象を相手に与えます。
逆に、歯が黄ばんできるだけで3歳は老けたように見えるとも言われています。
歯科技工士が常駐する院内ラボ
澤歯科医院では30年以上前から医院の中に歯科技工士さんを常駐させており、国際デンタルアカデミーの卒後研修を終了した優秀な技工士により、院内で技工物を作成しています。
院内ラボなので患者さんの要望に合わせて、精度の高い、審美的にもすばらしい技工物を仕上げることができます。

ホワイトニング
Whitening
ホワイトニングはこんな方へオススメです
- きれいな白い歯になる
- 歯並びや噛み合わせがきれいになる
- 自然の歯に近い色調で、目立ちにくい
- アレルギー対策ができる
- 口腔ケアがしやすくなり、虫歯・歯周病・口臭の予防効果が高まる
- 口腔ケアさえきちんとできれば経済的
- 将来的に歯を残せる可能性が高まり、入れ歯やインプラントの可能性が減少
- 見た目に自信がつくので、積極的になるなど精神的な変化も期待できます
ホワイトニングは医院内で行う「オフィスホワイトニング」、ご自宅でご自身で行う「ホームホワイトニング」、またオフィスとホームの両方を行う「デュアルホワイトニング」がありますので、ご興味がある方はお気軽にご相談ください。
一度ホワイトニングをすると歯は白くなりますが、その後のケア不足によりまた黄ばみだしてしまうことがあります。
飲食物や生活習慣も影響してきますので、実施後のケアについてアドバイスもお伝えしています。
当院のホワイトニングは
「TION」を使用しております。
院内で行うホワイトニングは、医療機関のみが扱えることを許可されているホワイトニング剤を使用しています。国家資格保有者が行いますので、セルフホワイトニングとは異なります。

セラミック治療
Ceramic
従来の素材とオールセラミックの違い
| 素材 | メリット | デメリット |
|---|---|---|
| 硬質レジン | プラスチックの素材で保険範囲内での治療が可能。 | 変色・着色しやすく、強度は柔らかく破折・磨耗しやすい。 |
| メタルボンド | メタルボンド 陶材と金属を焼き付けて作るので強度がある。 | 金属の裏打ちをした冠は経年的に金属が露出して歯肉との境目が黒く見えたり、自然な歯の輝きが思うように出にくい。 |
| ハイブリッド セラミック |
オールセラミックより安価。歯肉が黒ずみにくく、金属を使用しない。 | 耐磨耗性がやや劣る。オールセラミックと比較して、修復時の色ツヤが劣化しやすい。保険治療外 |
| オールセラミック (ジルコニア) |
歯肉が黒ずみにくく、高い強度と生態親和性がある。天然歯同様の自然な仕上がりが期待できる。金属を使用しない。 | 保険治療外 |
歯には機能的な側面と、
審美的な側面があります
患者さんのお口の中の状況や部位によって、適応する施術や、詰め物は変わります。
”耐久性を重視したい”、”見た目を重視したい”、削る量を最小限にしたい”など、ご希望をお聞かせください。あなたに合う施術、詰め物をご提案いたします。

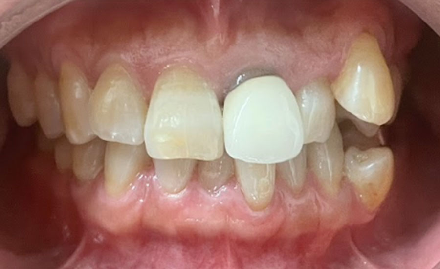
オールセラミッククラウン
口腔内のすべての歯に適用できる方法で、土台となる歯の外側に人工歯としてすっぽりかぶせるタイプです。
セラミックのみで作られているので金属アレルギーの方に有効です。

e.max
e.max(イーマックス)は、二ケイ酸リチウムガラスセラミックという従来のセラミック系の詰め物よりも2~3倍の強度を持っている素材になります。ですから、割れたり欠けたりするトラブルを非常に少なくすることができます。見た目も非常にきれいです。

オールセラミック・ブリッジ
オールセラミックによるブリッジは強度の高いジルコニアを使用し、透過性に優れた素材のため審美性に優れ、見た目が重要になる前歯部の症例に適応しています。

オールセラミック・
ラミネートべニア
前歯のエナメル層を薄く削り、その上にセラミックを貼り付けるものです。こちらもセラミックのみで作られているので金属アレルギーの方に有効です。よく目立つ前歯でも審美性を発揮します。
矯正治療
Orthodontic treatment
PMTC
Pmtc
ボトックス治療
Botox Treatment

「ボツリヌストキシン製剤」を注射することで、筋肉の動きをおさえる治療法です。
施術する場所により、得られる効果が異なります。
口周りのシワの改善
筋力を弱めることで口元のほうれい線を目立たなくさせ、顎の梅干しジワや口周りのシワを解消する効果があります。
(効果の持続期間は4から5ヶ月)
エラの改善
咬筋が強く緊張することで大きくせり出し目立つエラを、ボツリヌストキシン注射により緊張を緩和し、解消することができます。
口角のたるみ改善
口角が下がってへの字口元にの方は、口角が上がって綺麗なスマイリーな口元になります。
ヒアルロン酸注射
Hyaluronic acid injections

年齢を重ねるにつれて目立っていくお口周りのシワは、誰であっても生じる加齢にともなう変化であります。しかし、お口周りのシワは、人の印象を大きく変えるものです。そんな悩みを解決できるのが、ヒアルロン酸注射です。
お口周りのシワは不揃いな歯並びの影響や、かみ合わせによって生じている恐れも否定できず、歯科医療においても見過ごせないものとなります。
お口周りのトラブルは、お口周りの筋肉の動きやバランスにも考慮した施術を提供できる、歯科医師にお任せください。



