Implant
インプラント
![]()
インプラント
Implants

ご自分の歯に変わる「第2の永久歯」
インプラントはこんな方へオススメです
- 食事の時、しっかり食べ物を噛めない
- 入れ歯が合わない
- 見た目が気になる
- 常日頃違和感がある
- 入れ歯をし始めて料理がおいしくなくなったと感じている
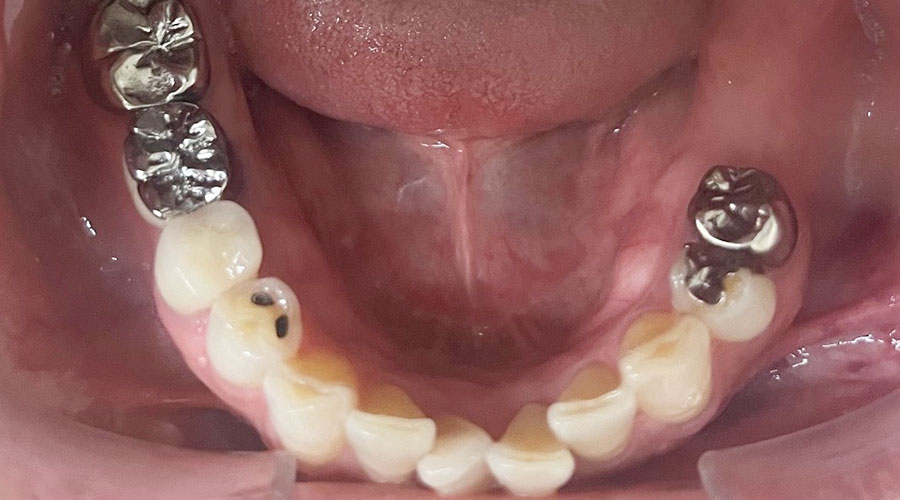
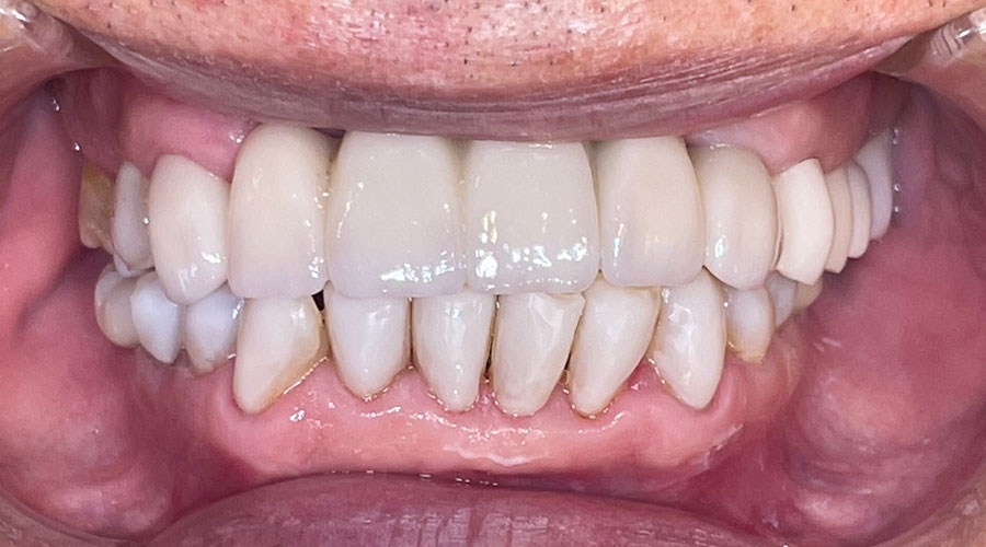
インプラント治療には、他の治療方法とは比較できないさまざまな良さがたくさんあります。自然な見た目、自分の歯と同じ噛み心地、入れ歯のように取り外す必要がないなど、インプラントはご自分の歯に変わる「第2の永久歯」として活躍してくれます。当医院の目標は歯を失わないことですので、インプラントの前に現在ある歯を抜かずにお守りし最終手段としてインプラントを実施いたします。インプラント後には炎症対策として定期的なメンテナンスが必要となりますので、入れて終わりというわけではありません。インプラントは手術ですので患者様のお身体の負担も考慮して慎重に実施いたしております。
インプラント治療と他の治療との比較
歯を失った場合に機能や見た目を回復する方法として「ブリッジ」「入れ歯」「インプラント」「矯正」といった治療選択肢があります。
これらの治療法には利点もあれば欠点もあります。ここではこれら3つの治療法についての比較を紹介いたします。
| インプラント | ブリッジ | 入れ歯 | |
|---|---|---|---|
| 治療期間 | 比較的長い(数か月~) | 比較的短い | 比較的短い |
| 治療費 | 自由診療のみ | 自由診療・保険診療 | 自由診療・保険診療 |
| 残存歯 | 残っている歯を唯一守ることができる | 負担をかける、削る必要もある | 負担をかける、削る必要があることもある |
| 違和感 | 天然歯に近い | 多少の違和感がある | 違和感を感じやすい |
| 外科処置 | 必要 | 必要ないことが多い | 必要ないことが多い |
インプラント

ブリッジ

入れ歯

当院では、安全に確実にインプラント治療を行うために「精密歯科用CT撮影機器」「3Dコンピュータガイドシミュレーションシステム」「世界標準のインプラントメーカー」といった先進の機器・材料・衛生管理システムを積極的に導入し、高度なインプラント治療を提供してまいります。
安全で確実なインプラント治療のために
01.CT撮影機器による科学的な治療を実施

02.高精度な手術のためコンピューターシュミレーション

03.手術の確実性を高めガイデッドサージェリー

04.ピエゾを使った低侵襲治療

インプラント治療の術式
インプラントの治療の流れを順番に説明していきます。
診査・診断
現在のお口の状態を診査します。レントゲン撮影・かみ合わせの診査を行います。
CT撮影・型取り
当院には、被曝量の少ないCTを導入しています。他の医療機関に撮影に行く必要はありません。
説明
01、02で得た情報を元に作成した治療計画を説明します。分からないこと、気になることは何でも聞いてください。
ガイド作製
手術時に使用する装置です。正確な位置に施術時間を短縮して埋めることが可能です。お口を長く開けていられない方もご安心ください。
インプラント手術
予定部位にインプラントを埋めます。必要であれば、同時に骨を作ったり、歯茎の移植を行います。
抜糸
手術の10日から2週間後です。
被せ物の作製
手術の2〜6ヶ月間、骨とインプラントが結合するのを待ちます。その後、歯を作り完成です。
定期検診
3〜6ヶ月に1回は定期検診に通われてください。
恐怖や不安を軽減できる安心の処置
セデーション(静脈内鎮静法)
歯科治療に強い恐怖心をお持ち方やパニック障害を患っている方が安心して治療を受けられるよう、セデーション(静脈内鎮静法)を導入しています。点滴で鎮静剤を投与することで、恐怖や不安を感じないウトウトした状態で治療を受けられます。全身麻酔のように意識がなくなることはないので、治療中の呼びかけなどにも対応できます。歯科治療が怖くて受診できないとい方は、ぜひお気軽にご相談ください。
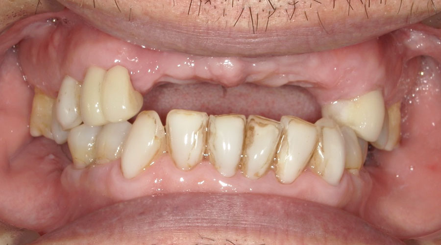
歯が抜けて放置するとどうなる?
歯が抜けてしまったところを治療せずにいると、そこの隙間を埋めようと周囲の歯が動き出します。
隣りの歯が倒れてきたり、反対の歯が伸びてきたりします。やがては全体のかみ合わせがずれてきてしまうことにもなります。噛みやすい方ばかりで食事をしていると、アゴがずれてきたり、左右の筋肉量に差が出ることによって、見た目まで変わってしまうことがありますので、何らかの形で早めに治療することを提案しています。


