Orthodontics
矯正歯科
![]()
矯正歯科
Orthodontics
近年、治療技術の進歩により、患者様のライフスタイルに合わせてさまざまな治療法が選択できるようになりました。
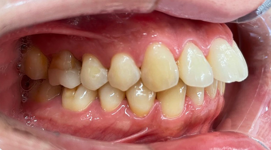
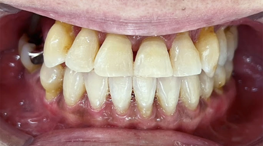
歯並びを改善する方法としては、マウスピース矯正をはじめ、ワイヤー矯正、裏側矯正、セラミック矯正などがありますが、その中でも当院がおすすめしているのは装着も自分ででき、簡単にお手入れができて虫歯や歯周予防にもなりにくいなどのメリットが多い「マウスピース矯正」です。
どの治療法が最適かの最終的な判断は、実際に精密検査やカウンセリングを行なってからになりますが、ライフスタイルや叶えたい目的に合わせたおすすめの治療方法をご紹介します。
マウスピース矯正とは
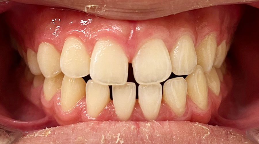
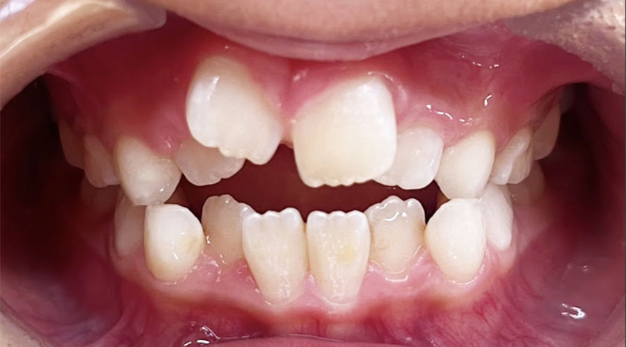
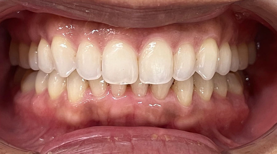
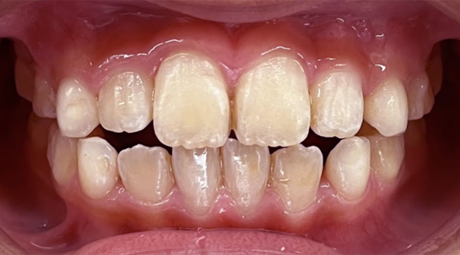
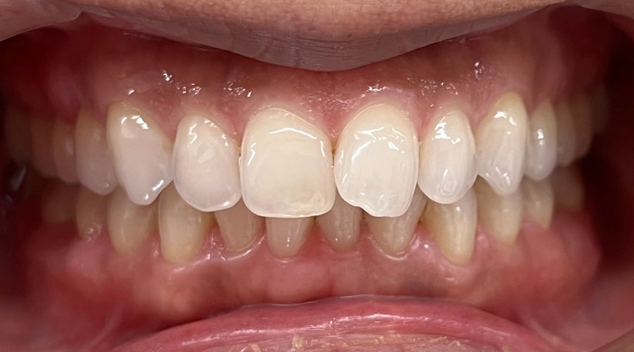
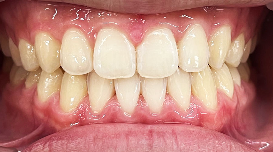
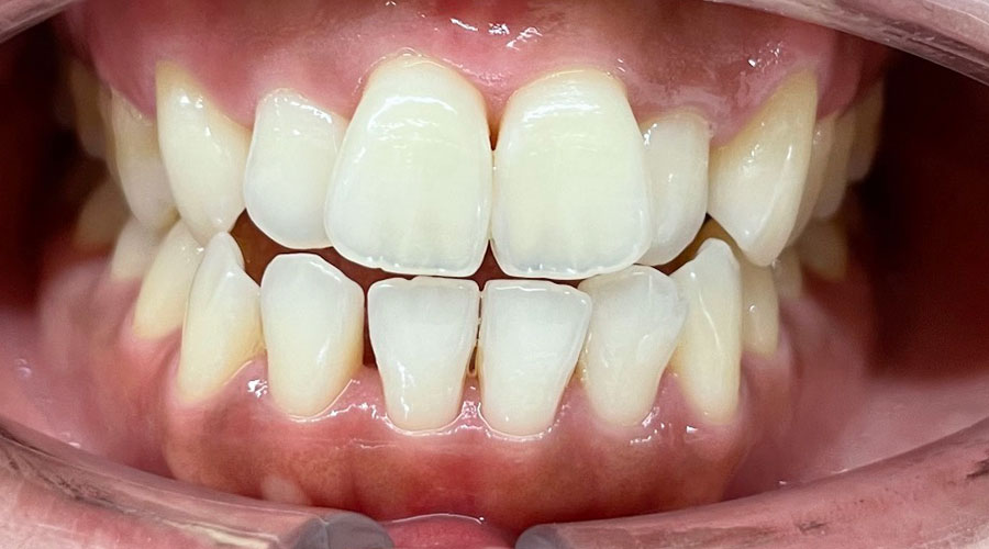
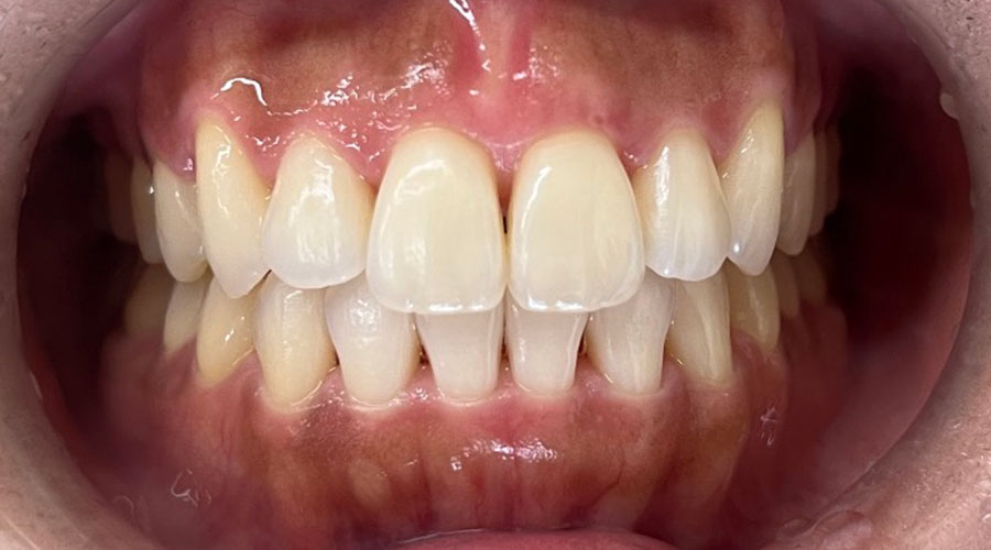
マウスピース矯正は、目立たない透明なマウスピースを使用して歯を少しずつ動かし、理想的な位置に矯正する治療方法です。この治療は、従来の金属製の矯正器具と異なり、取り外しが可能で、見た目にもほとんど影響を与えません。当院では、この革新的な矯正治療に「インビザライン」と「クリアコレクト」の二つのシステムを採用しています。

こんな心配事はありませんか?
- 歯並びが気になるが、ワイヤー装置が目立ちそうで心配
- 矯正したいが、食事や清掃がしづらそう
- 矯正装置によって歯磨きが難しくなり、虫歯や歯周病が怖い
澤歯科医院におまかせください!
歯並び咬み合わせを治して、
美しい笑顔になりましょう
歯並び咬み合わせを治して、
美しい笑顔になりましょう
マウスピースを使用した
矯正のメリット
MERIT 01
装着中も目立たず、周囲に気付かれにくい!
MERIT 02
食事や歯磨きの際に簡単に取り外せるため、食事を制限する必要がなく、口腔ケアもしやすい!
MERIT 03
金属のワイヤーやブラケットを使わないため、痛みや不快感が軽減!
MERIT 04
治療前に3Dシミュレーションで治療の進行や最終的な仕上がりを確認可能!
MERIT 05
マウスピースを定期的に交換するだけのため、通院回数が少ない!
MERIT 06
特別なイベントやスポーツの際など、一時的に取り外すことができ、生活に合わせて柔軟に対応できる!
お気軽にご相談ください

副院長もインビザラインを使用して
矯正をしました。


